"You know...   I have always been told that I AM ALWAYS  SMILING...My response is that My smile is my logo... it always makes people smile back..even if they are having a bad day. NOW, my smile REALLY makes people smile back and feel better because it is so bright and beautiful...they can't help but feel good! That is my job to make people feel better.  You gave me the perfect vehicle!  
     
  Did you know that your face has 15 muscles that work together to make a smile?


Like some people, though, you may avoid using these muscles because you are embarrassed by your smile.

Let us at 21st Century Dental give you a 21st century smile to allow the real you to shine through.

We offer a variety of possibilities for our patients to improve their smile, whether you are looking for straighter teeth, whiter teeth, larger teeth, smaller teeth, fewer gaps or a less gummy smile.

Among the services we offer are: (click on headings for more information)
 
     
  Porcelain veneers  
     
   
     
 

Invisalign

 
     
   
     
 

Bonded Porcelain Restorations (BPRs)

 
     
   
     
  Lava Bridges  
     
   
     
  No Metal Margins  
     
 

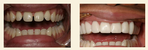
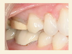
Hate those ugly black lines on your crowns? You don't have to have them. Even on our metal-based crowns when we have to use them for strength, these are easily hidden

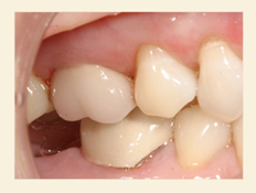
    Unsightly upper crown needs tobe replaced  Our crowns look like the one on top...don't settle

 
     
 
 
 
  The tooth in back was extracted due to an ill-fitting crown  
     
  Snap-On Smiles  
     
   
     
  Whitening  
     
   
     
  Extreme Whitening  
     
   
     
  Recountouring  
     
 
 
 
     
   
 
Dental Implants
Oral Screening
Dental Imaging & Radiology
Dental Extraction
Maxillofacial Surgery
Dental Prosthesis
Dental Sealants
Child Dental Care
Orthodontics
Gum Treatment & Gum Care
Minimally Invasive Fillings
Root Canal Treatment
Preventive Dentistry
Cosmetic Dental Treatment
Tooth Whitening