|
 |
| |
| |
GUM SURGERY |
|
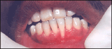
Stabilization of mobile teeth |
| |
| |
GUM SURGERY
|
|
| |
|
|
| |
GUM DISEASES |
|
| |
|
|
| |
Believe it or not, gum problems are the most common diseases affecting the human population.
Most of the people think that teeth are the only element of a beautiful smile. However, the fact is that the size, shape, integrity and health of gum tissue greatly influence the aesthetic appearance of even the most perfect teeth. Too much gum tissue can lead to teeth that look short and wide while too little gum tissue can lead to exposure of root surfaces of teeth that look way too long
Periodontics is an area of expertise that deals with treatment of the gum and bone supporting the teeth. |
|
| |
|
|
| |
 |
|
| |
|
|
| |
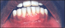
In health, the gums firmly grip the neck of the tooth. If food is allowed to accumulate between the tooth and the gum margin, it forms plaque along with the microbes. The resultant irritation of the gum margins produces a condition called as GINGIVITIS characterized by redness, bleeding and swelling of the gums. If proper attention is paid at this stage the condition is perfectly reversible. However in untreated cases the condition further deteriorates leading to the destruction of the tooth-supporting tissues. The condition is then called PERIODONTITIS or PYORRHOEA. At this stage the teeth start shaking, they are unable to withstand chewing forces, pus forms in the gums and foul smell starts from the mouth. |
|
| |
|
|
| |
|
|
| |
|
|
| |
Treatment |
|
| |
|
|
| |
1. Non-surgical treatment involves scaling and polishing of teeth. The procedure aims to remove food particles, plaque and calculus accumulating around the tooth. The effectiveness of the procedure depends largely on the stage of the disease, the efficiency of instrumentation and the maintenance on the part of the patient.
No matter how good we are at brushing, we cannot achieve 100% efficiency in cleaning. So, small depositions continue to occur on a daily basis. For long term maintenance of teeth, it is therefore advisable to go in for a professional cleaning once in six months even if you do not have an evident gum problem.
2. The Surgical approach to treatment is usually recommended for resistant cases where complete removal of the irritants from root surface of the tooth is not possible by scaling alone due to the deep penetration of the deposits. The procedure also called as flap surgery or flap operation involves reflection of the gums by 1-1 1/2 mm and debriding the area under local anesthesia with direct visualization of the deposits. The procedure is completely painless and involves minimum post-operative pain or discomfort.
In certain cases however it is possible to regrow the lost bone by use of certain bone substitutes called Bone grafts. Such cases provide the ideal outcome of therapy by regenerating the lost tissues. |
|
| |
|
|
| |
Gum Recession |
|
| |
|
|
| |
Another commonly encountered problem with respect to gums is the recession of gum margins. The etiology of the condition is related to faulty tooth brushing technique or the use of hard-bristle brush. The significance of the condition to the patient lies in the fact that the exposed root surfaces left by the receding gums are sensitive to hot and cold and that the exposed root surfaces are prone to decay. Also, receded gums can make your teeth look unnaturally long robbing you of your beautiful smile. |
|
| |
|
|
| |
|
|
| |
|
|
| |
Treatment of gingival recession:
|
|
| |
|
|
| |
The treatment of gingival recession involves coverage of the exposed root surface. This is achieved either by
1.) pulling the gum margin coronally
2.) by covering the recessed area by a transplanted tissue. The tissue may be derived either from one's own body (palate) or some commercially available substitutes (alloderm) may be used. In the past this procedure required that a piece of tissue be harvested from the roof of your mouth to serve as the graft material. Unfortunately, not everyone has enough tissue available or wants to have tissue taken from this sensitive area. Now, however, you have a choice: AlloDerm. Every patient is different and patient results may vary. Only a trained clinician can determine the best treatment plan for you.
|
|
| |
|
|
|
|
|