DENTAL HARD AND SOFT TISSUE DISEASE DIAGNOSIS CANCER SCREENING
 
  Dental hard and soft tissue disease diagnosis  
     
 

Basic diagnostic principles and techniques, such as surgical biopsy and its adjuncts, as a modality for making accurate oral soft tissue Synopsis

The identification and differential diagnosis of various odontogenic infections,cysts and tumors both clinically and through conventional and advanced CT imaging studies.

The recognition of non-odontogenic lesions, and their differentiation from odontogenic lesions both clinically and through radiographic studies.This includes benign and malignant neoplasms of bone and other hard tissues of the craniofacial region.

The identification of salivary gland pathology, diagnostic work-up of the major and minor salivary glands,interpretation of test results from salivary gland analysis,and prescription writing for common salivary conditions and salivary stimulating medications.

The diagnosis and treatment of facial muscle and TMJ disorders,atypical odontalgia, phantom tooth pain, attrition, erosion and abrasion.

 
     
 
 
 
 
     
 
   
 
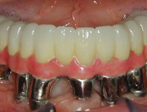
Dental Implants
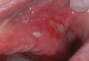
Oral Screening
Dental Imaging & Radiology
Dental Extraction
Maxillofacial Surgery
Dental Prosthesis
Dental Sealants
Child Dental Care
Orthodontics
Gum Treatment & Gum Care
Minimally Invasive Fillings
Root Canal Treatment
Preventive Dentistry
Cosmetic Dental Treatment
Tooth Whitening