|
 |
| |
| |
Tooth colored fillings using composites |
|
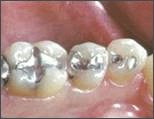
Silver fillings |
| |
| |
FILLINGS |
|
| |
|
|
| |
A cavity calls for your dentist to remove the decay and to fill in the tooth area that was removed in order to prevent further decay and strengthen the affected tooth. There have been lots of advances in modern dentistry that make this process much more comfortable and use materials that are safer and more esthetically pleasing. |
|
| |
|
|
| |
SILVER FILLINGS |
|
| |
|
|
| |
 |
|
| |
|
|
| |
Earlier the trend was to have amalgam fillings (silver) or gold filling restorations. These fillings contain mercury which is poisonous to the body as well as the environment. Also the amalgam fillings are generally not as advantageous as composite fillings because they demand more of a tooth removal and are susceptible to corrosion.
|
|
| |
|
|
|
|
|